
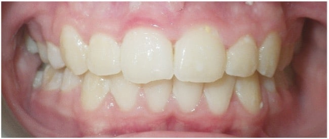
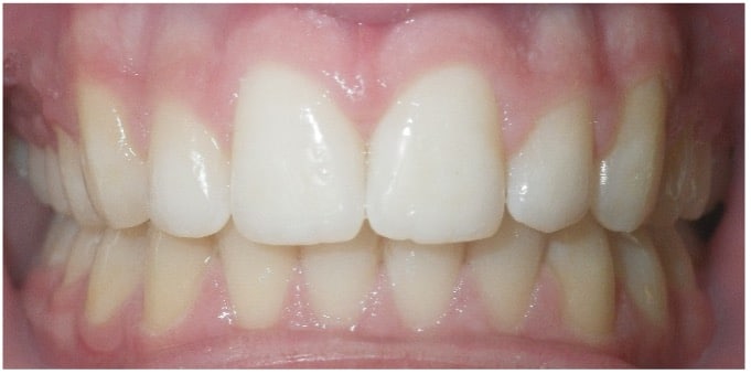
Orthodontic Clinic is a valued member of the Specialist Orthodontic Group. We are leading specialist orthodontists delivering the full range of orthodontic treatments including Invisalign, Metal Braces & Interceptive Treatment from our state-of-the-art clinic in Surrey. Our highly experienced and friendly team are passionate about creating picture-perfect smiles and look forward to getting you started on your journey to the smile you always wanted!
We have been making people smile for nearly three decades, and as of August 2021 we are recognised as a DIAMOND APEX INVISALIGN provider, placing us in the TOP 1% OF ALL INVISALIGN providers in the UK.Orthodonticlinic, as of August 2021, is recognised as an Invisalign DIAMOND APEX PROVIDER which is the highest level of accolade awarded by Invisalign to high performing orthodontists. This puts Orthodonticlinic in the Top 1% of all Invisalign providers and indicates that Dr Ogunro is highly experienced. The accolade demonstrates his commitment to orthodontics and his patients. Orthodonticlinic has been awarded the esteemed designation of INVISALIGN TEEN PROVIDER, which demonstrates our expertise in treating teens and younger children.
Book NowAs a trusted orthodontic practice, we’re always looking for ways to better serve our patients. That’s why we have expanded our services to include general dentistry, providing comprehensive care for all your oral health needs under one roof.
Tired of NHS waiting lists? Get seen today. We are currently accepting new patients for same-day appointments. Don’t wait months for the care you need—experience fast, professional dental service right when you need it.
“Because we care about your SMILE”
Dr Tharini is our highly skilled and compassionate Qualified Dentist. She completed her post-graduation in fixed orthodontics and removable clear aligners in 2022. She is also a certified Spark Advanced provider.
We pride ourselves on offering a family-friendly environment, which also means we have the facilities to treat patients of all ages. Come and see us to find out how we can get you and your family the smiles you always wanted.
Book Now
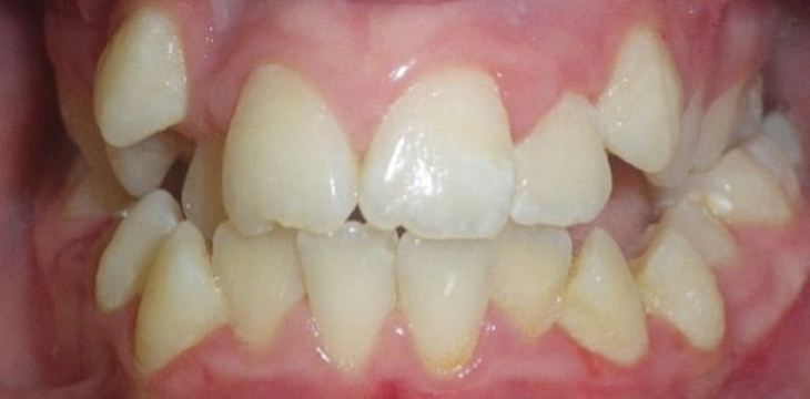
Braces use constant, gentle pressure, which, over time, move teeth into their proper positions. Your braces are at work every moment of your orthodontic treatment. The two main components of your braces are: the brackets that are placed on your teeth and the main archwire that connects them. The bracket is a piece of shaped metal or ceramic that we affix to each tooth. The archwire is bent to reflect your "ideal" bite. In other words, it reflects the way we want you to look after treatment.
The wire threads through the brackets and, as the wire tries to return to its original shape, it applies pressure to move your teeth. Picture your tooth resting in your jaw bone. With pressure on one side from the archwire, the bone on the other side gives way. The tooth moves. New bone grows in behind.
Attached to your braces are elastics (rubber bands) on occasion, which exert the proper force that creates the right amount of pressure to move teeth. In order for this force to remain constant, elastics must be worn all the time and changed every day.
Separators are tiny blue rubber bands placed between the teeth to make room to fit molar bands needed for some appliances.
This is the appointment everyone is excited about – the day the braces go on. Each brace will be placed in the correct position by one of our orthodontic therapists.
A removable brace is fitted very easily by clipping it onto several teeth. There is no discomfort involved. Fixed braces are simply "glued" onto the teeth. There is no need for an anaesthetic injection.
Orthodontic treatment has improved dramatically. As a rule, braces make your teeth sore for a few days, but it is not painful. This annoyance can be relieved with an over-the-counter pain reliever. Today's braces are smaller, more comfortable and use technology that reduces the discomfort. We use the latest in miniature braces and the highest quality of orthodontic materials in order to reduce discomfort and treatment time.
Your brace has to be adjusted regularly. Removable braces and fixed braces are adjusted every 4 to 8 weeks.
This depends on how much work there is to do. Fixed brace treatment can take between 12 and 24 months, but longer if the problem is particularly severe. If braces are broken frequently this can add a lot of time to the course of your treatment.
After the brace has been fitted the nurse or orthodontist will provide verbal and written instructions about your brace and its maintenance. At the practice we have products for sale that we recommend for keeping your braces clean. We also recommend you maintain your usual check up with your dentist.
The brace will not mark your teeth. If dental plaque is allowed to become thick around the brace the plaque itself may damage your teeth. We will give you instructions on the use of special brushes.
A daily fluoride mouth rinse can be used to harden areas that are very difficult to clean. Care must be taken to choose an alcohol-free, pH-balanced rinse. Certain foods and drinks may also lead to damage. You should avoid drinking lots of fizzy drinks and keep in-between-meal snacks to a minimum.
Fixed braces – these are usually bonded to the tooth surface. They are available in gold, silver and tooth coloured.
Lingual fixed braces – Lingual braces are mounted behind a patient's teeth, used for selected cases.
Invisalign – Invisalign is used for all patients who are excellent in managing their oral hygiene.
Removable – Patients can take this type of brace out but it is only used for selected cases.
It is recommended that your child be evaluated by age 7. Early detection of some orthodontic problems is important in order to take early corrective action and avoid more difficult treatment later.
No, age is not a factor, only the health of your gums and bone which support your teeth. About 25% of our orthodontic patients are adults and that number is still growing!
Yes. When teeth are missing, adjacent teeth will drift into the empty space. This will cause a functional, aesthetic or periodontal problem. Orthodontic treatment will correct and prevent these problems from happening and will also provide proper alignment for your dentist to replace the missing teeth.
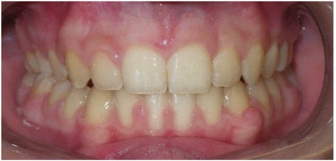
It is important to realise that once a brace is removed the teeth can drift back towards their original positions. They must, therefore, be held in their new positions for a long time with retainer braces until they have settled. Retainers are either removable appliances or thin wires stuck onto the tongue side of the teeth.
Very crunchy and sticky foods can break your brace. Toffee and chewing gum must be avoided. Really enjoyable hard foods can be chopped up and chewed gently! If you are having Invisalign treatment – just remove your braces and enjoy whatever you are eating! Just remember to put them back in as soon as possible.



Orthodontic Clinic is the leading Specialist Orthodontic practice in Surrey. We have been caring for adults and children here for 29 years.

If you would like any more information on pricing or would like to book an appointment. Simply fill out the form, CALL us on 01372 386 200 or email [email protected]

01372 386 200
[email protected]